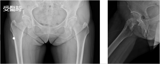
2020-07-21 手外科・外傷 ページ内リンク 髄内釘(short femoral nail) Sliding hip screw 大腿骨頚部骨折(骨接合術) 大腿骨頚部骨折(人工骨頭挿入術) 腿骨転子部骨折(髄内釘) 髄内釘(short femoral nail) Sliding hip screw 大腿骨頚部骨折(骨接合術) 大腿骨頚部骨折(人工骨頭挿入術) 腿骨転子部骨折(髄内釘) 関連ページ 手外科・外傷 一覧へ戻る