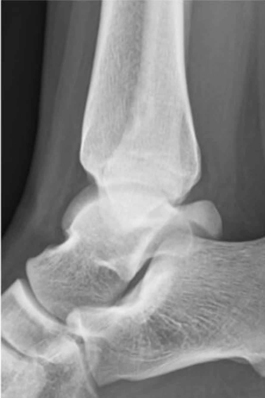
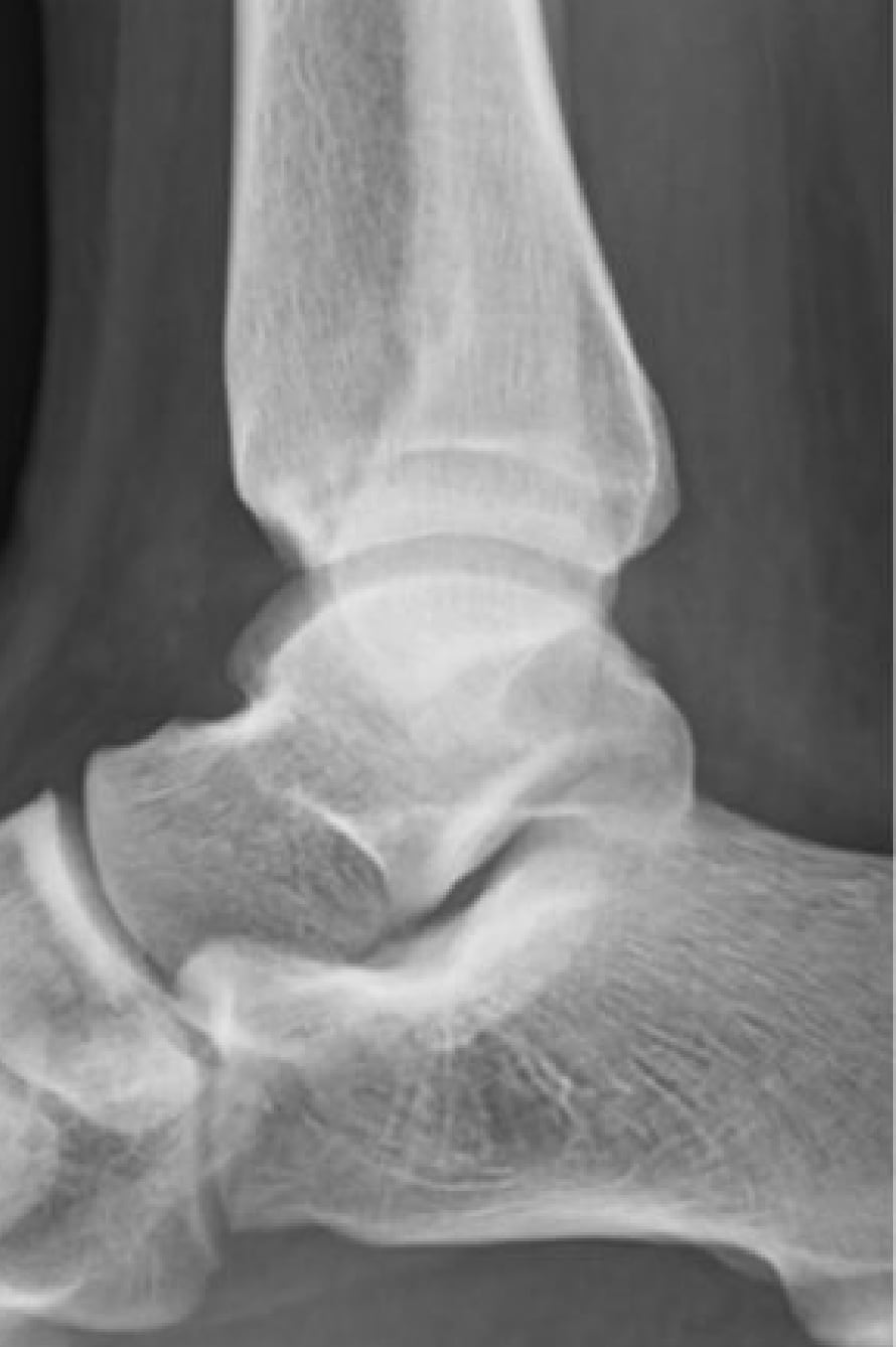
2020-12-09 スポーツ整形 ページ内リンク 後方インピンジメント症候群(三角骨障害)【スポーツ整形外科】 後方インピンジメント症候群(三角骨障害)【スポーツ整形外科】 サッカーやラグビーのキック動作やクラシックバレエのポアント肢位で足関節後方の骨が衝突して疼痛が発生する。⇒鏡視下切除により症状消失。 術前 術後 関連ページ スポーツ整形 一覧へ戻る