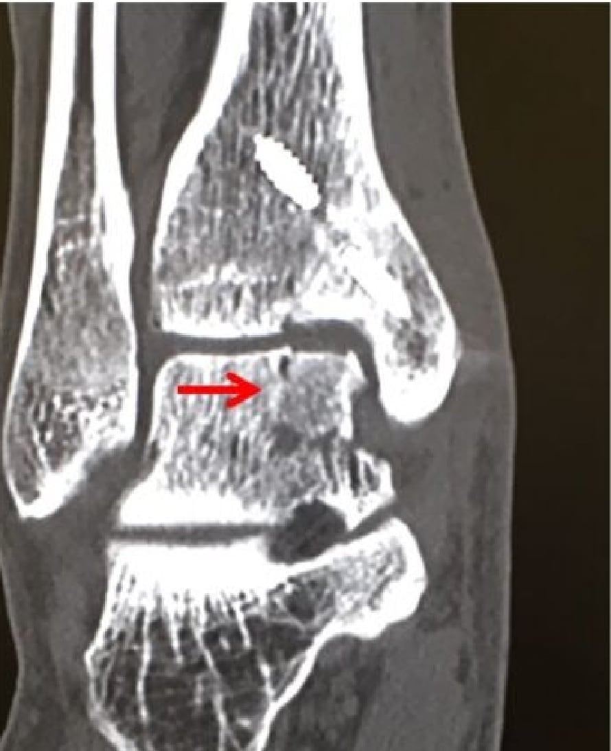
2020-12-09 スポーツ整形 ページ内リンク 距骨骨軟骨損傷(離断性骨軟骨炎)【スポーツ整形外科】 距骨骨軟骨損傷(離断性骨軟骨炎)【スポーツ整形外科】 軟骨とその下の骨が剥がれてきて痛みが出る。⇒骨穿孔/骨軟骨片固定/骨軟骨柱移植 患部の状態により最適な治療方法を選択します。 骨軟骨柱移植前 骨軟骨柱移植後 骨軟骨柱移植術後CT 関連ページ スポーツ整形 一覧へ戻る