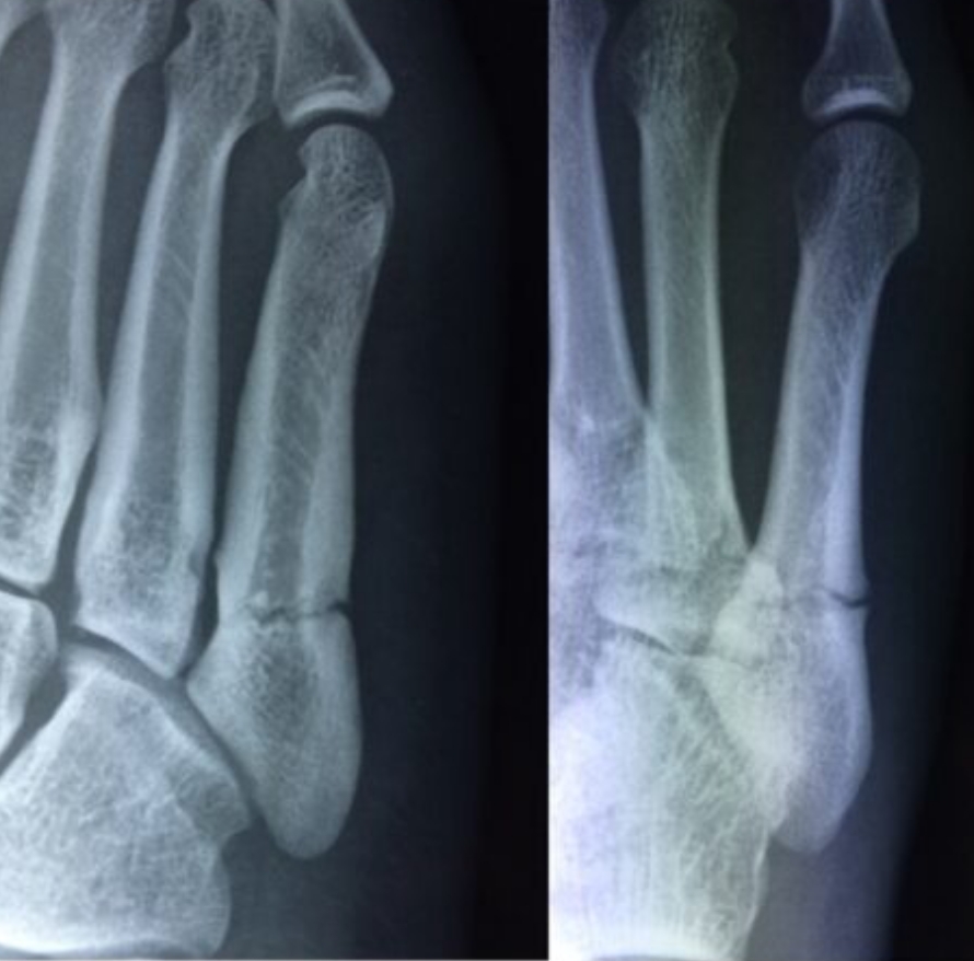
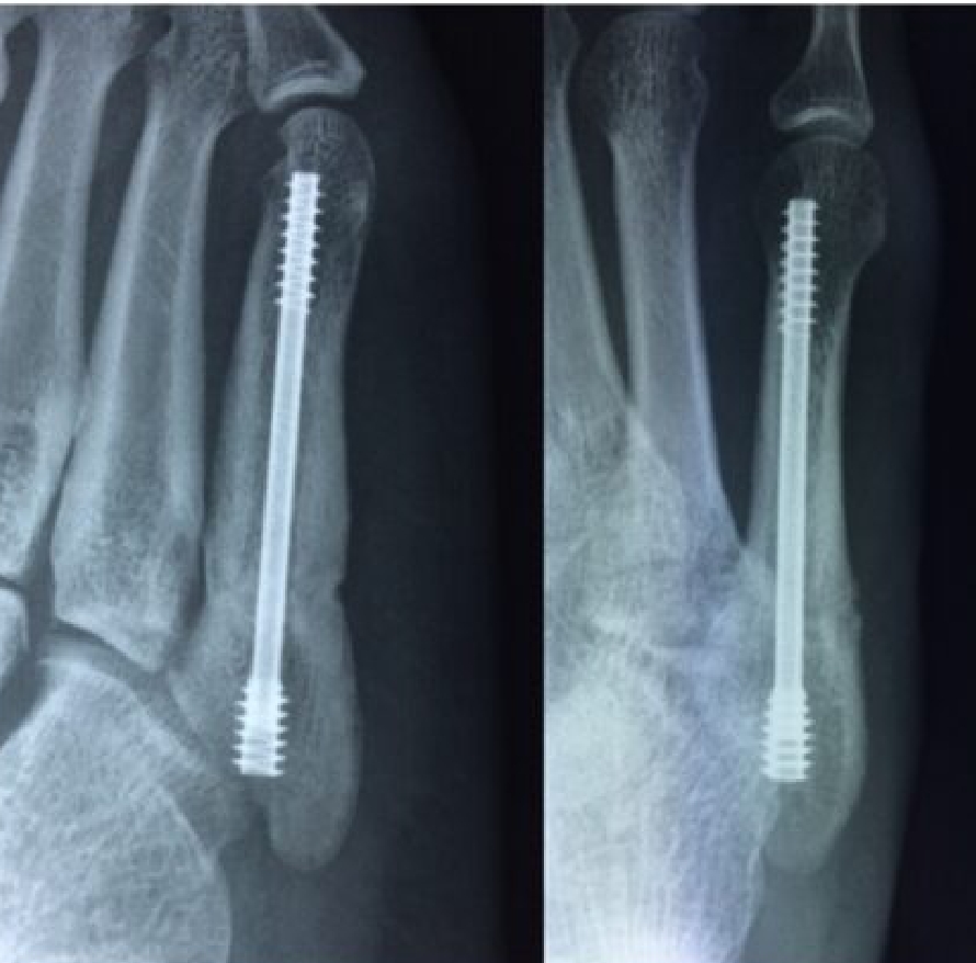
2020-12-09 スポーツ整形 ページ内リンク 第5中足骨骨折(ジョーンズ骨折)【スポーツ整形外科】 第5中足骨骨折(ジョーンズ骨折)【スポーツ整形外科】 サッカーやバスケット等の切り返しの多い競技にしばしば発生する。⇒スクリューによる固定で2〜3か月で復帰。 術前 術後 術後12週間 関連ページ スポーツ整形 一覧へ戻る